da edenta | Ago 14, 2025 | Prevenzione carie, Trattamenti laser
VUOI AVERE DEI DENTI BIANCHI? IL COLORE DEI TUOI DENTI TI METTE A DISAGIO? QUANDO SORRIDI PER LA VEGOGNA TI COPRI LA BOCCA CON LA MANO? HAI PROVATO VARI RIMEDI SENZA RISULTATI? ABBIAMO LA SOLUZIONE PER TE!! IN QUESTO VIDEO TI SPIEGHIAMO IL NOSTRO PROTOCOLLO...
da edenta | Giu 28, 2022 | Trattamenti laser
E’ risaputo che è sempre meglio prevenire che curare. La visita dal dentista non dovrebbe essere vista come un appuntamento saltuario o come frutto di una necessità occasionale, ma un controllo semestrale o annuale dove viene valutato lo stato di salute di tutta...
da edenta | Giu 1, 2022 | Trattamenti laser
Se non siete completamente soddisfatti del vostro sorriso, ma non siete dei grandi fan degli apparecchi metallici, gli allineatori trasparenti potrebbero essere la soluzione giusta per voi. Le mascherine in plastica appena visibili spingono delicatamente i denti in...
da edenta | Mag 2, 2022 | Trattamenti laser
Soffri di cefalea cronica senza riuscire a risolvere attraverso l’analgesico o l’antinfiammatorio? Oppure ti capita di avere mal di testa e percepire strani rumori aprendo la bocca o masticando, o con un dolore che appare in corrispondenza dell’orecchio? Sempre più...
da edenta | Lug 27, 2021 | Trattamenti laser
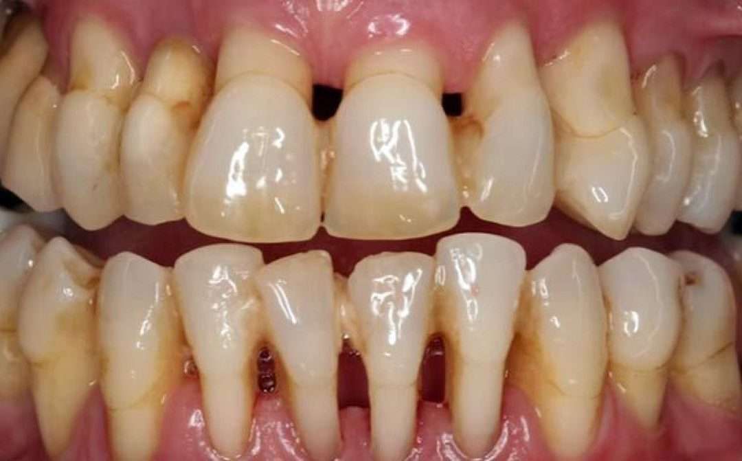
Perché i denti si muovono? I batteri sono normalmente presenti nella nostra bocca e si depositano sui denti sotto forma di placca, un rivestimento appiccicoso e incolore. L’uso dello spazzolino e del filo interdentale aiuta ad eliminare i batteri orali. La placca non...
da edenta | Lug 27, 2021 | Trattamenti laser
I biomateriali sono prodotti inerti che vengono utilizzati per sostituire o riparare un tessuto mancante. Possono essere di origine naturale o essere sintetizzati in laboratorio, e sono in grado di interagire con l’organismo umano.I biomateriali, come i sostituti...
Commenti recenti