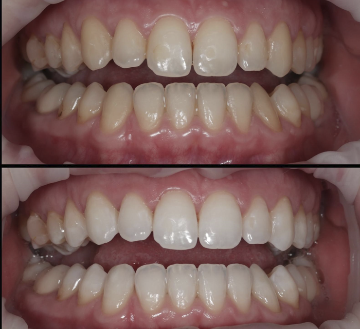
da edenta | Ago 14, 2025 | Prevenzione carie, Trattamenti laser
VUOI AVERE DEI DENTI BIANCHI? IL COLORE DEI TUOI DENTI TI METTE A DISAGIO? QUANDO SORRIDI PER LA VEGOGNA TI COPRI LA BOCCA CON LA MANO? HAI PROVATO VARI RIMEDI SENZA RISULTATI? ABBIAMO LA SOLUZIONE PER TE!! IN QUESTO VIDEO TI SPIEGHIAMO IL NOSTRO PROTOCOLLO...
da edenta | Lug 3, 2023 | Igiene orale, Implantologia
Cosa sono gli impianti dentali e come funzionano? Il materiale del quale sono costituiti tutti gli impianti dentali utilizzati è una lega di titano, è un materiale altamente biocompatibile, ciò significa che non ha effetti dannosi sull’organismo con il quale entra in...
da edenta | Mag 30, 2023 | Conservativa, Igiene orale, Prevenzione carie
Introduzione: La carie dentale è uno dei problemi dentali più comuni e può causare disagio, dolore e persino la perdita dei denti se non viene trattata adeguatamente. Fortunatamente, esistono modi efficaci per prevenire e trattare la carie dentale. In questo articolo,...
da edenta | Giu 28, 2022 | Trattamenti laser
E’ risaputo che è sempre meglio prevenire che curare. La visita dal dentista non dovrebbe essere vista come un appuntamento saltuario o come frutto di una necessità occasionale, ma un controllo semestrale o annuale dove viene valutato lo stato di salute di tutta...
da edenta | Giu 1, 2022 | Trattamenti laser
Se non siete completamente soddisfatti del vostro sorriso, ma non siete dei grandi fan degli apparecchi metallici, gli allineatori trasparenti potrebbero essere la soluzione giusta per voi. Le mascherine in plastica appena visibili spingono delicatamente i denti in...
Commenti recenti