Perché i denti si muovono?
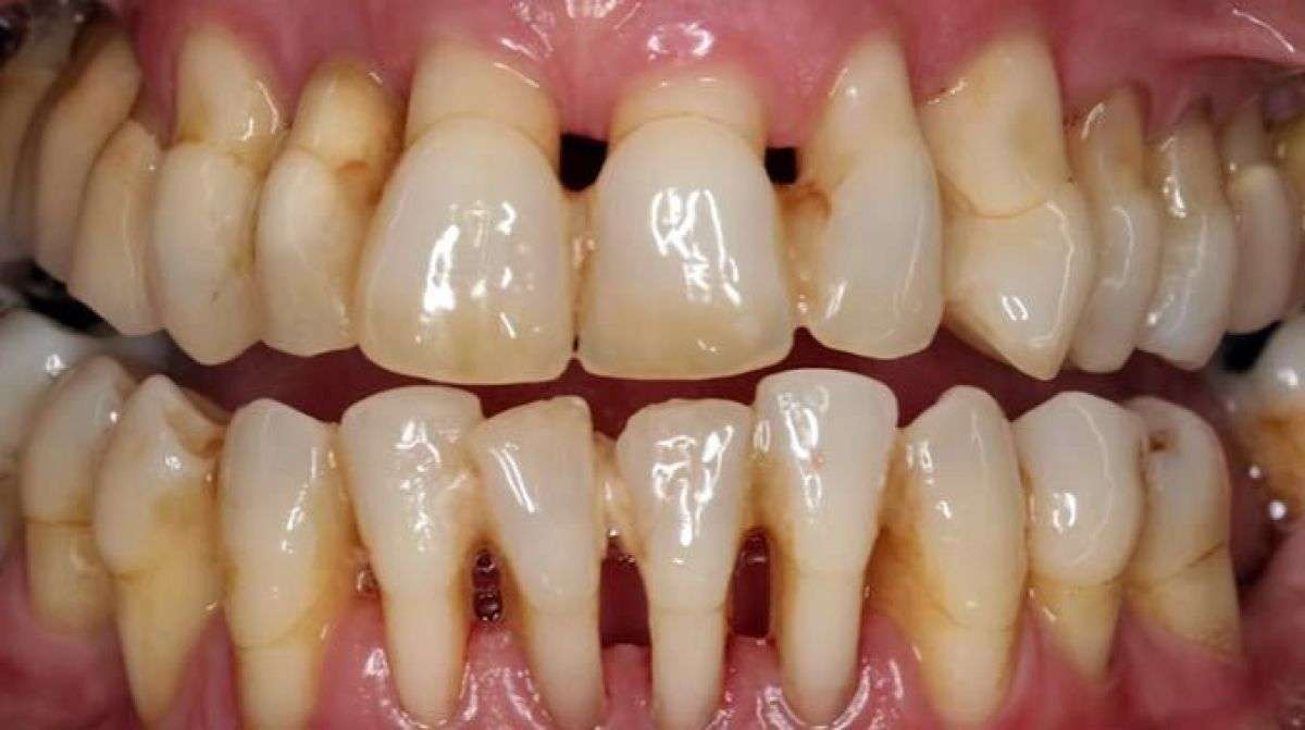
I batteri sono normalmente presenti nella nostra bocca e si depositano sui denti sotto forma di placca, un rivestimento appiccicoso e incolore. L’uso dello spazzolino e del filo interdentale aiuta ad eliminare i batteri orali.
La placca non correttamente rimossa diventa nociva per i denti. Le gengive e gli spazi attorno ai denti si possono infettare (questa infezione si chiama parodontite).
E’ molto importante essere consapevoli di avere la parodontite, in modo da poterla affrontare e curare nel modo più adeguato possibile, evitando così la caduta dei denti.
Per verificare la presenza della malattia, effettuiamo una ortopanoramica digitale e uno specifico esame in cui misuriamo la profondità delle tasche per mezzo di una sonda (sondaggio parodontale). Con le nostre cure siamo in grado di eliminare la malattia in maniera definitiva.
Una volta effettuato il trattamento, consigliamo ai nostri pazienti di sottoporsi a controlli periodici per evitare il ripresentarsi della parodontite e prestare molta attenzione alla propria igiene orale che è sempre la migliore medicina per prevenirla.
La parodontite non curata comporta l’instabilità dei denti dovuta al deterioramento dell’osso circostante. A seconda del grado di infezione (e, quindi, della parodontite), i denti possono andare persi. A lungo termine, la parodontite porta al deterioramento dell’osso attorno al dente.
Come si cura la parodontite?
Curare la parodontite è possibile! Per rimuovere la placca batterica accumulata nelle tasche parodontali, non è sufficiente la normale pulizia con lo spazzolino, e neanche una pulizia dei denti professionale, ma bisogna ricorrere a delle tecniche particolari.
Se le tasche sono molto profonde e superano i 5 mm bisogna ricorrere ad un intervento parodontale, un trattamento chirurgico attraverso il quale vengono rimossi i batteri dal fondo delle tasche. Si effettua un’incisione sulla gengiva, attraverso la quale si raggiunge la superficie della radice del dente e la parte più profonda della tasca dove sono annidati i batteri. Qui si ripulisce la parte infetta e vengono eliminati i batteri. Infine si richiude la ferita con dei punti di sutura.
Con questa tecnica le tasche vengono eliminate e i denti riacquistano stabilità, spesso anche se si muovevano e sembravano destinati alla caduta. Così si può curare definitivamente la parodontite.
Se le tasche non superano i 5 mm, invece, la terapia più adatta per curare la parodontite è il curettage gengivale, cioè la rimozione dei tessuti molli dalla tasca parodontale. Attraverso un apposito strumento, chiamato curette, viene raschiata la parete gengivale in modo da eliminare i tessuti molli della tasca parodontale e viene ripulita anche la radice eventualmente esposta del dente.
Il trattamento della parodontite avanzata a volte può richiedere un intervento chirurgico. Se lo stato della parodontite è avanzato e si vuole evitare l’estrazione del dente, in molti casi è possibile rigenerare l’osso per permettere al dente di rimanere saldamente ancorato.
Contattaci per avere informazioni sugli approcci chirurgici disponibili e più adatti al tuo specifico caso.
Dott. Alessandro Chirico
Odontoiatra, Chirurgo
Direttore sanitario Studio dentistico EDENTA







Commenti recenti