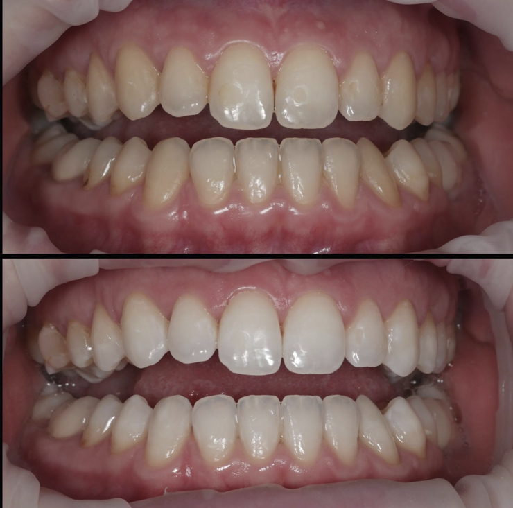
VUOI AVERE DEI DENTI BIANCHI?
IL COLORE DEI TUOI DENTI TI METTE A DISAGIO?
QUANDO SORRIDI PER LA VEGOGNA TI COPRI LA BOCCA CON LA MANO?
HAI PROVATO VARI RIMEDI SENZA RISULTATI?
ABBIAMO LA SOLUZIONE PER TE!!
IN QUESTO VIDEO TI SPIEGHIAMO IL NOSTRO PROTOCOLLO
AVRAI SENTITO DIRE CHE LO SBIANCAMENTO ROVINA I DENTI
TUTTO VERO!
SE NON SI UTILIZZANO PRODOTTI PROFESSIONALI ADATTI AL PROPRIO CASO.
VALUTIAMO CASO PER CASO LA TIPOLOGIA DI GEL SBIANCANTE DA UTILIZZARE
TUTTI I NOSTRI PAZIENTI SONO RIMASTI SODDISFATTI! OTTENENDO IL RISULTATO DESIDERATO



OTTERRAI IL SORRISO SEMPRE DESIDERATO
IN SOLE DUE SETTIMANE
SENZA DOLORE
MANTENENDO INTATTI I TUOI DENTI
TI GUIDEREMO PASSO PASSO VERSO IL TUO NUOVO SORRISO!
PRENOTA UNA VISITA!!
CHIAMA 0522 919569





Commenti recenti